::I've Got a Screw Loose::
I've got a screw loose. Yes. I know. You knew that already. But I mean really--an actual loose screw.
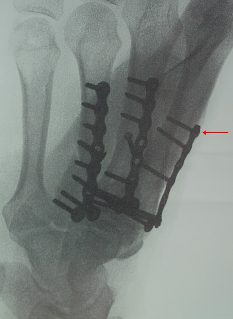
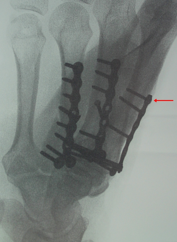
Remember this picture? Well, it gives you an idea of the hardware in my left hand. It's a result of this little accident in December 2011.
That screw there, marked with the red arrow--well, that is "supposed" to be a locking screw. It has started to
"back out" for some reason and is now protruding up on the back of my hand. Because it doesn't feel so good--just an odd deep ache, especially when I accidentally bump it on something and the plate is starting to move it must come out. Here's a different view before the screw started to move. Count them. Twenty screws. But only that one little stinker is loose--as far as the doctor can tell.
The question for me has been whether to take out all of the hardware while we are at it--which requires slightly longer surgery, a bit longer healing and an additional 3 inch scar on the back of my hand--not to mention a greater risk of upsetting my hand. Or just to remove the plates and screws on the one bone. Hmmmm. I still haven't decided yet.
I don't know how long I will be out of commission but surgery is on April 24th. With three patterns on my hook and one in my head, I am determined to make it a speedy recovery! I gotta crochet, you know! I just gotta!
I'll keep in touch here and on Facebook--although I might be typing with one hand for a bit.
Thank you, everyone, for your sweet comments on my Bright as a Button Blanket! It makes me feel so happy to know that others enjoy my creations!
Fear not, all will be well on the Felted Button front!
{On the Board} -- By becoming the answer to someone's prayer, we often find the answers to our own. --Dieter F. Uchtdorf




